Là bệnh viện tư nhân đầu tiên ra đời ở vùng nông thôn xứ Quảng, bệnh viện đa khoa Vĩnh Đức là nơi là những người cao tuổi, nông dân, người lao động đặt niềm tin vào công tác khám và điều trị. Là một trong những chuyên khoa mũi nhọn tại bệnh viện Vĩnh Đức, khoa chấn thương chỉnh hình đã thực hiện rất nhiều kỹ thuật chuyên sâu trong đó thay khớp gối nhân tạo đã trở thành giải pháp hàng đầu cho bệnh nhân thoái hóa khớp gối nặng.
Thoái hóa khớp là bệnh khớp mạn tính có đặc điểm là nứt vỡ và mất sụn khớp cùng với những thay đổi khác của khớp, bao gồm phì đại xương (hình thành gai xương).
Các triệu chứng thoái hoá khớp gối thường khởi phát từ từ, bắt đầu bằng triệu chứng đau, đau tăng lên ở những tư thế chịu trọng lực và giảm khi nghỉ ngơi nhưng cuối cùng có thể đau liên tục. Cứng khớp sau khi ngủ dậy hoặc không hoạt động và giảm đi khi vận động. Khi thoái hoá khớp tiến triển, vận động khớp sẽ trở nên hạn chế, xuất hiện đau và cảm giác lục khục, lạo xạo. Sự tăng sinh của sụn, xương, dây chằng, gân, bao khớp, và màng hoạt dịch, cùng với tràn dịch khớp với các mức độ khác nhau sẽ gây ra tình trạng sưng khớp trong thoái hoá khớp, và tiến triển đến biến dạng, lệch trục khớp gối gây ảnh hưởng đến chất lượng cuộc sống, vận động sinh hoạt của bệnh nhân.

Theo bác sĩ Nguyễn Minh Lâm (Khoa chấn thương chỉnh hình) thì Điều trị thoái hóa khớp gối bao gồm: Điều trị không dùng thuốc: thay đổi lối sống, giảm cân. Điều trị dùng thuốc: các thuốc đường uống (các thuốc kháng viêm, giảm đau, thuốc chống thoái hóa tác dụng chậm…), các thuốc tiêm nội khớp (thuốc kháng viêm, các chế phẩm sinh học, acid hyaluronic). Điều trị phẫu thuật: nội soi cắt lọc, rửa khớp gối; khoan kích thích tạo xương (microfracture); phẫu thuật thay khớp gối nhân tạo.
Phẫu thuật thay khớp gối nhân tạo là giải pháp tối ưu cuối cùng cho các bệnh nhân thoái hóa khớp gối giai đoạn nặng, điều trị nội khoa không thuyên giảm. Đây là phương pháp được ứng dụng phổ biến tại nhiều bệnh viện, trung tâm chấn thương chỉnh hình lớn trong cả nước và hiện được triển khai thường quy, hiệu quả tại Bệnh viện Đa khoa Vĩnh Đức, giúp bệnh nhân không còn đau đớn, phục hồi vận động tốt, cải thiện chất lượng cuộc sống.

Gần đây nhất là trường hợp chị L.T.L.H 68t ở Duy Xuyên, đau khớp gối 2 bên Trái > Phải nhiều năm, đã điều trị tích cực nội khoa, tiêm nội khớp cũng như phẫu thuật nội soi cắt lọc khớp gối Trái nhưng không cải thiện, khớp gối Trái đau liên tục, đi lại hạn chế, trên X-Quang bắt đầu có biến dạng lệch trục vẹo trong gối, ảnh hưởng đi lại, sinh hoạt cũng như chất lượng cuộc sống. Chị H đã được các bác sĩ khoa Chấn thương chỉnh hình bệnh viện Vĩnh Đức thực hiện phẫu thuật cắt bỏ phần sụn khớp bị hư hại và thay khớp gối nhân tạo chân trái. Hiện sau quá trình phẫu thuật và tập vật lý trị liệu sau mổ, chị đã có thể tự đi lại không cần hỗ trợ, giảm đau khớp gối và không còn nghe tiếng “lạo xạo” mỗi khi hoạt động gấp duỗi gối như trước.

Đội ngũ bác sĩ khoa Chấn thương chỉnh hình phẫu thuật thay khớp gối nhân tạo.

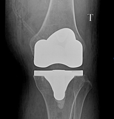
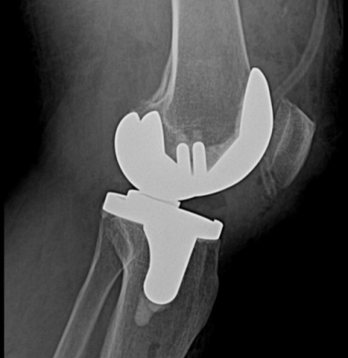
X-Quang sau mổ thay khớp gối toàn phần của BN L.T.L.H
…
…
ThS.Bs Nguyễn Vũ Lâm – trưởng khoa Chấn thương chỉnh hình Bệnh viện Vĩnh Đức cho biết: “Phẫu thuật thay khớp gối nhân tạo là giải pháp “cứu cánh” cuối cùng đối với các thoái hóa khớp gối giai đoạn cuối – mặt sụn đã bị phá hoàn toàn; hoặc khi các phương pháp điều trị bảo tồn như dùng thuốc, tập vật lý trị liệu, giảm đau… không còn tác dụng cải thiện chất lượng sống cho bệnh nhân. Những trường hợp này thay khớp gối giúp bệnh nhân thoái hóa khớp gối nặng nề có thể sớm quay trở lại cuộc sống bình thường.
Nói về kỹ thuật thay khớp gối nhân tạo, bác sĩ Vũ Lâm cho biết: “Đây là một phẫu thuật kĩ thuật cao, yêu cầu đội ngũ phẫu thuật viên được đào tạo chuyên sâu cùng với sự hỗ trợ của trang thiết bị, máy móc hiện đại có thể giúp xử trí những ca thoái hóa khớp nặng nề, lệch trục phức tạp; đội ngũ bác sĩ gây mê hồi sức cũng đóng vai trò quan trọng nhất là các trường hợp bệnh nhân cao tuổi, có nhiều bệnh lý đi kèm, giảm thiểu các rủi ro có thể xảy ra trong quá trình phẫu thuật, đảm bảo an toàn tối đa cho người bệnh. Sau mổ bệnh nhân sẽ được hỗ trợ và hướng dẫn tập vật lý trị liệu, phục hồi chức năng nhằm sớm quay lại cuộc sống bình thường”.
Tại Bệnh viện Đa Khoa Vĩnh Đức, phẫu thuật thay khớp nhân tạo là một trong những dịch vụ kỹ thuật cao và mũi nhọn với 80-100 ca thực hiện mỗi năm. Để kỹ thuật thay khớp gối trở thành phẫu thuật thường quy, bệnh viện đa khoa Vĩnh Đức đã thường xuyên cử các bác sĩ chuyên ngành Chấn thương – chỉnh hình tập huấn, đào tạo nâng cao trình độ chuyên môn, kĩ năng tay nghề ở các bệnh viện đầu ngành trong nước và nước ngoài. Bên cạnh đó, bệnh viện cũng đẩy mạnh ứng dụng các kỹ thuật tiên tiến điều trị các bệnh lý về xương khớp như thay khớp háng, nội soi khớp gối, khớp vai…
Hiện tại khớp gối được đội ngũ chấn thương chỉnh hình BV Đa Khoa Vĩnh Đức sử dụng là khớp gối Medial Pivot. đây được xem là khớp kỹ thuật tiên tiến nhất và hoàn thiện nhất trong các loại khớp gối nhân tạo. Medial Pivot có cấu tạo gần giống với khớp gối tự nhiên, sở hữu nhiều ưu điểm về mặt động học, cải thiện chức năng lâm sàng, giải quyết các vấn đề về đau mặt trước gối, tăng tuổi thọ khớp, giảm nguy cơ trật khớp gối.
Phẫu thuật thay khớp gối được ứng dụng sâu rộng, thành công tại Bệnh viện Vĩnh Đức đã khẳng định năng lực làm chủ các kỹ thuật cao, hiện đại tuyến trung ương và trên thế giới của đội ngũ y bác sĩ. Đồng thời mở ra hy vọng điều trị dứt điểm các bệnh lý xương khớp phức tạp ngay tại địa phương, hạn chế tình trạng chuyển tuyến, tiết kiệm chi phí điều trị bệnh cho người dân đặc biệt là người dân vùng nông thôn xứ Quảng còn nhiều khó khăn.
