Lưu trữ tác giả: Hồ Thanh Nam
PHẪU THUẬT ĐỤC THỦY TINH THỂ BẰNG PHƯƠNG PHÁP PHACO TẠI BỆNH VIỆN ĐA KHOA VĨNH ĐỨC
Đục thủy tinh thể là nguyên nhân hàng đầu gây mù lòa trên thế giới [...]
Chụp MRI Vú
Chụp MRI tuyến vú tại Bệnh viện Đa khoa Vĩnh Đức: ưu điểm và những [...]
Cách phòng tránh sốc nhiệt do nắng nóng
Sốc nhiệt (hay say nắng, cảm nắng) là một loại bệnh nhiệt nghiêm trọng. Thông [...]
Giảm đau ngoài màng cứng trong quá trình chuyển dạ.
Sự đau đớn trong quá trình sinh nở đã trở thành nỗi ám ảnh đối [...]
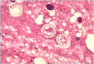
PHÒNG BỆNH SÁN DÂY
Các nhà nội trợ phải biết cách phát hiện trong thớ thịt bò hoặc heo [...]
PHẪU THUẬT XOAY VẠT CHE PHỦ CHO BỆNH NHÂN LOÉT VÙNG CÙNG CỤT.
Vừa qua, Khoa ngoại chấn thương chỉnh hình – cột sống Bệnh viện Đa khoa [...]
TẠI SAO CẦN PHẢI KHÁM THAI 3 THÁNG ĐẦU ?
Có thai là chuyện tự nhiên nhưng không phải lúc nào có thai cũng đều [...]
Phẫu thuật nội soi cột sống tại Bệnh Viện Đa khoa Vĩnh Đức – Quảng Nam.
Phẫu thuật nội soi cột sống đã được triển khai mạnh mẽ tại Bệnh viện [...]
TẠI SAO CẦN KHÁM THAI 3 THÁNG ĐẦU ?
Hôm 9-5 vừa qua, bác sỹ chính thức cho bệnh nhân N T N (40t, [...]
