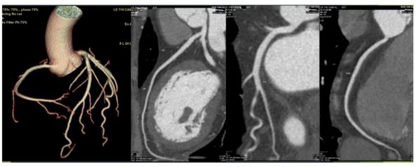
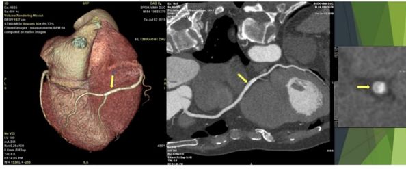
Cắt lớp vi tính động mạch vành là một kỹ thuật thu hình tim – động mạch vành 3 chiều (3D) bằng cách sử dụng máy cắt lớp vi tính thế hệ mới, cho ra hình ảnh rõ nét và chính xác, giúp chẩn đoán bệnh lý tim – động mạch vành.
Độ chính xác >90% ở hầu hết các nghiên cứu lớn trên thế giới và sử dụng hệ thống tiên tiến tương tự tại bệnh viện chúng tôi.
Không có tai biến chủ quan nặng. Các tai biến khách quan chủ yếu liên quan đến thuốc cản quang và thường không nặng nề, có thể dự phòng.
Những người có dấu hiệu nghi ngờ hoặc đã biết bệnh lý tim – động mạch vành, cần đánh giá tim – động mành để có phương pháp điều trị phù hợp, hoặc ở các bệnh nhân đã phẫu thuật tim hoặc can thiệp động mạch vành để theo dõi điều trị.
Những người có tiền sử dị ứng nặng với thuốc cản quang chứa Iot.
Với hệ thống máy cắt lớp vi tính tiên tiến ở BVĐK Vĩnh Đức, có thể chụp mà không cần chuẩn bị gì cả. Tuy nhiên, để chất lượng hình ảnh thu được đạt mức tối ưu, khách hàng cần: Không hút thuốc, uống cafe hay sử dụng chất kích thích trước khi chụp 48 tiếng, nhịn ăn trước khi chụp #4-6 tiếng, không vận động thể lực nặng trước chụp 30 phút.
Hầu hết bệnh nhân sẽ được chụp và trả kết quả trong buổi khám.
Làm thế nào để đăng ký chụp, chi phí bao nhiêu, có được thanh toán bảo hiểm không?
Vui lòng liên hệ phòng khách hàng. SĐT: 0235. 2 46 46 44 – 0935 61 62 34 (tư vấn trong giờ hành chính)
(Ths Bs Nguyễn Văn Phương – Khoa Chẩn đoán hình ảnh & Thăm dò chức năng Bệnh viện Đa Khoa Vĩnh Đức)
🏥 Bệnh viện Đa khoa Vĩnh Đức
✔️Quốc lộ 1A, Phường Điện Nam Trung, Thị xã Điện Bàn,Tỉnh Quảng Nam
☎Hotline cấp cứu: 0235 3 767 555
☎Hotline CSKH: 0235 2 46 46 44
